Upper Central Incisor Re-Root Treatment with BC Putty (BCRRM) Obturation and an Upper Lateral incisor Re-Treatment with Totalfill BC Sealer Hiflow and GP
This was another internal referral from my ‘trusted’ associate David. The UR1 was diagnosed as a failed root treatment with a chronic apical abscess with a buccal sinus tract. The UL2 was diagnosed as a failed root treatment with APAP.
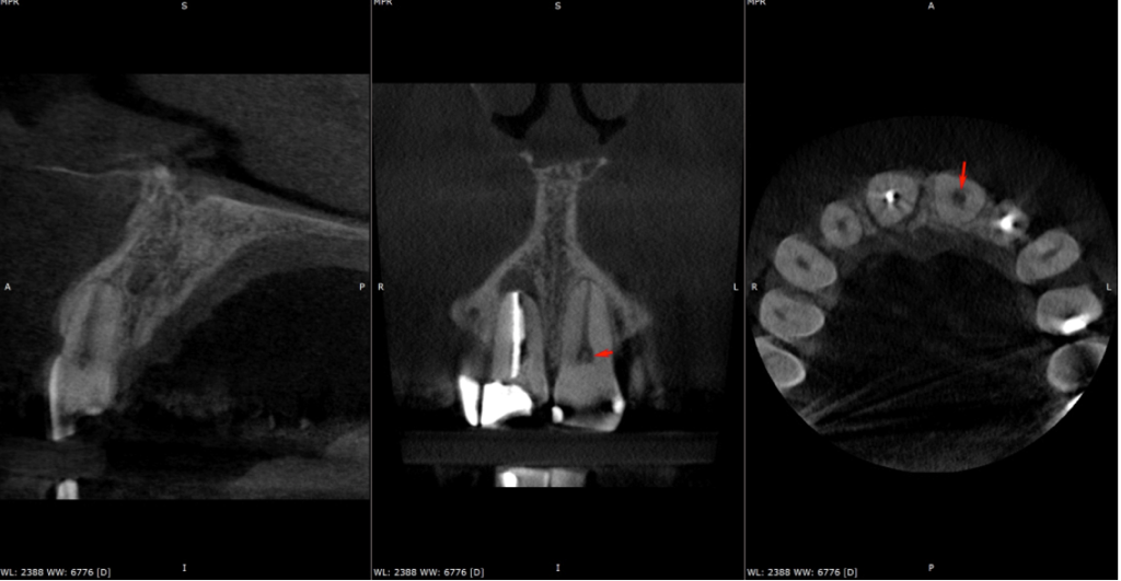
Pre-op IOPA and CBCT of the UR1 and UL2 looked like this:




Key findings from CBCT Consultant radiologist’s report by JM Radiology:
UR1
- Root filling under condensed.
- Large PARL (approx. 5mm) causing dehiscence of buccal cortex.
- Coronal one third of canal demonstrates some widening – likely to be anatomical rather than resorption and was mirrored on the UL1.
- No evidence of a fracture.
UL2
- Root filling a little under condensed.
- Large PARL; 6.5mm in diameter and dehiscence of the buccal cortex.
- No evidence of a fracture.
Re-treatments were completed for both teeth. However, due to the size of the apical lesions the patient was consented for the possibility of follow-up RES on either tooth. GP removal was completed using Dentsply’s ever dependable Reciproc Blue R25 and a combination of ultrasonics, Braided H files and the brilliant Gutta Percha Removal Instrument by Yoshi Terauchi available from Toothsaver. Enhanced irrigation protocols were used for both teeth utilising the excellent XP-endo Finisher. The UR1 was an open apex case. Having recently attended the IFEA World Endodontic Congress 2024, I was inspired by a re-treatment lecture I attended by Yoshi Terauchi and decided to implement one of his strategies (avoid use of gp in re-treamtents!) and use Well Root BC putty used in conjunction with Onefill BC sealer for the full obturation of the UR1. This had the added benefit of future proofing this tooth for RES surgery should this case fail to heal. Each tooth was completed over two visits (4 appointments in total for this case) using calcium hydroxide as an inter-visit dressing which resulted in full sinus resolution next to the UR1. Each root filling was sealed with RMGI and plugged with composite before being sent back to RD for internal whitening and veneers.
Post-op IOPA’s


Overall, a good result with both teeth and a nice lateral fill on the UL2. A 1-year CBCT review is planned to assess the healing of this case which the patient was fully on board with. I’ll add this in once I have it.
With the option for self-referrals and referrals by your dentist, Modern Endodontics by Dr Adam Watt makes it easy for root canal patients based in Glasgow and further afield to access advanced endodontic care.
If you're a patient looking to self-refer for an endodontic treatment with Dr Adam Watt, please contact the Treatment Coordinator at Broomhill Dental, Glasgow.
