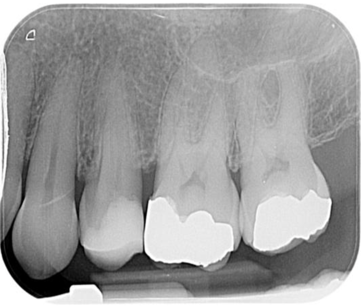
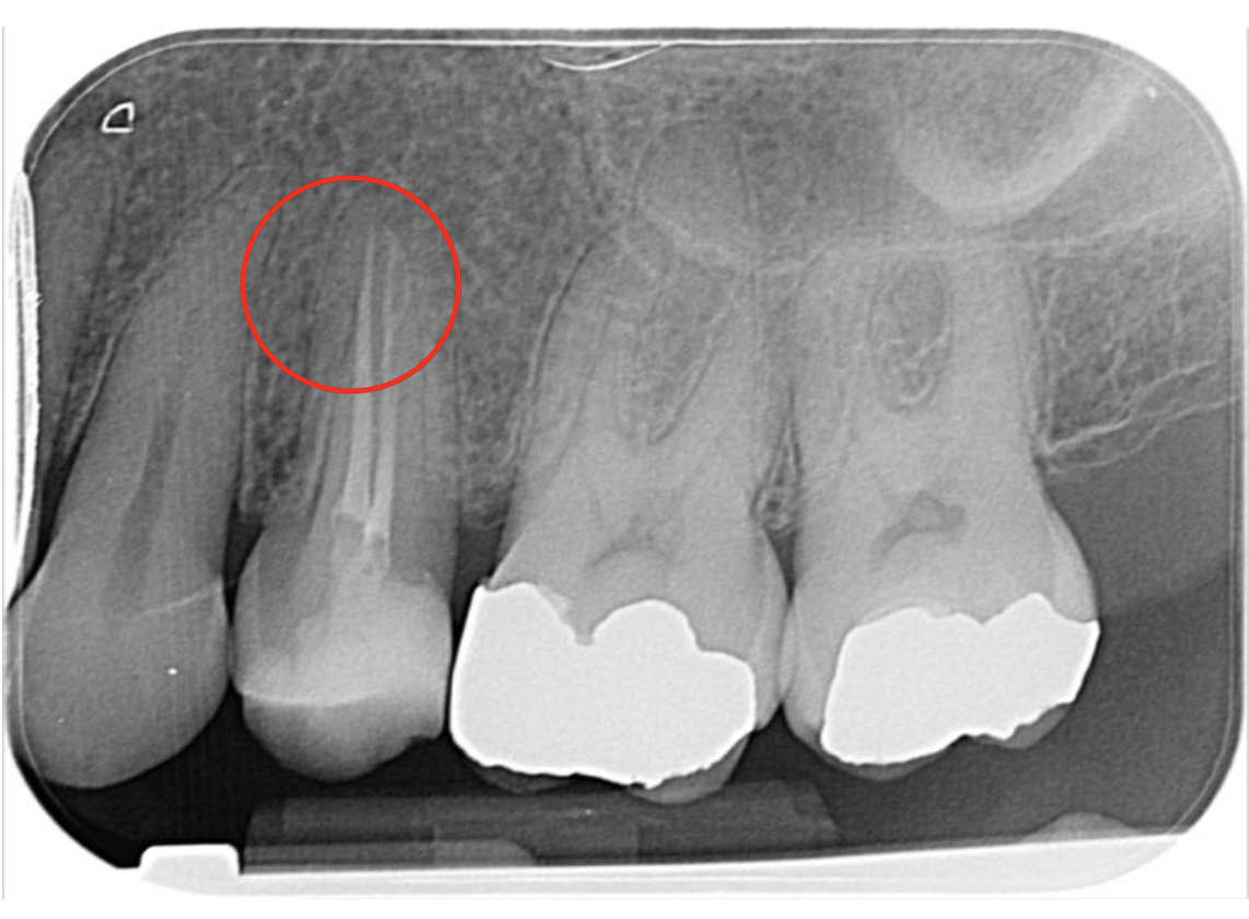
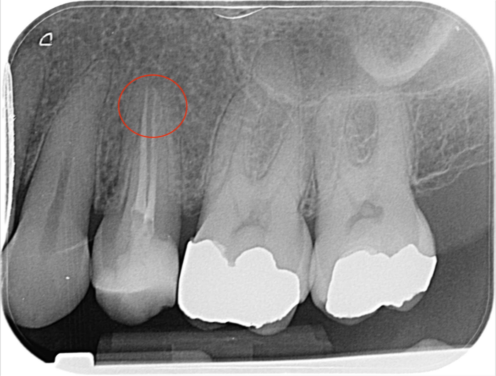
This upper second premolar Vertucci type 4 case was diagnosed with SIP and no clear apical change on IOPA.


It was prepared using 1403, 2004 and 2504 VS Flexi files from Toothsaver, as the canals appeared narrow and calcified on the pre-op IOPA. It was obturated with Onefill BC sealer and hydraulic condensation. On the post-op radiograph, you can see how the sealer-based obturation has filled the apical bifurcation of the buccal canal really nicely, which should help to achieve a positive outcome.
The patient was then returned to their RD for cuspal coverage.
With the option for self-referrals and referrals by your dentist, Modern Endodontics by Dr Adam Watt makes it easy for root canal patients based in Glasgow and further afield to access advanced endodontic care.
contacting dr Adam watt
practice details
Appointments for Patients
If you're a patient looking to self-refer for an endodontic treatment with Dr Adam Watt, please contact the Treatment Coordinator at Broomhill Dental, Glasgow.
