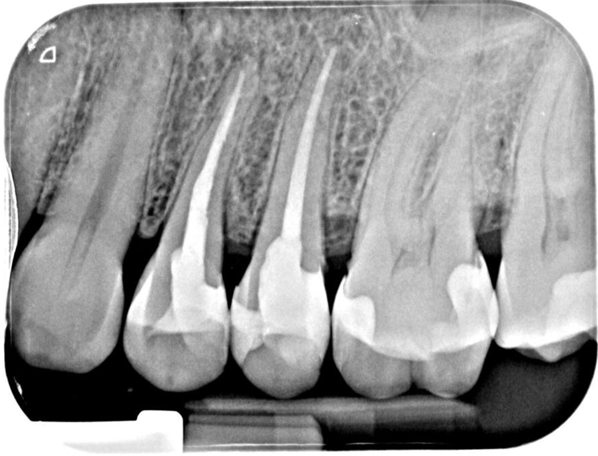
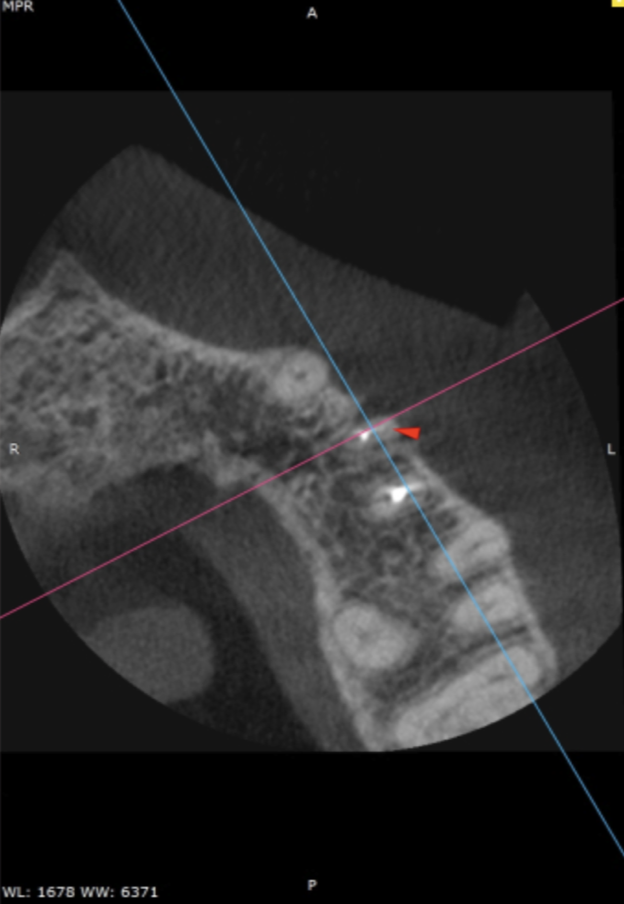
Pre-op IOPA & CBCT



This delightful lady was referred to me as she had recurrent pain and a firm apical swelling around her previously root-treated UL4. Upon viewing the IOPA, at first glance, this case appeared to have been adequately filled. However, CBCT review (shown above) highlighted a deep apical split of the main canal and an unfilled buccal branch, which seems like the most obvious reason for failure in this case.
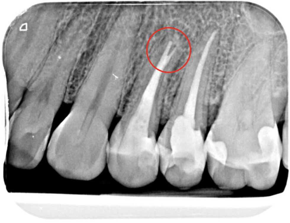
Having this information preoperatively made the management of this case far more predictable and underlines why a small field of view high-resolution CBCT scan can be invaluable in the management of most re-treatment cases and arguably most primary cases too. Please follow the link for the most current guidance on the use of CBCT in endodontics (https://onlinelibrary.wiley.com/doi/10.1111/iej.13187). At the first visit, the existing root filling was removed using Reciproc blue R25 and prepped using R40 rotary files and the previously unfilled buccal branch was prepared with the reduced taper (4%) VDW Rotate 1504, 2005 and 2504 files, which is one of my favourite file systems. After lots of irrigation and PUI, the tooth was dressed using calcium hydroxide, and the tooth was well sealed for a month. The aim of this was to try and reduce the swelling and alleviate this lady’s symptoms, which it did really nicely. At the second visit, the tooth was further disinfected and re-obturated using WVC and TotalFill BC sealer Hiflow. It was then returned to the RD for cuspal coverage without delay. I plan to review this case in a year's time, so I will update this case study with new radiographs when I have them.
Immediate Post-Op IOPA

With the option for self-referrals and referrals by your dentist, Modern Endodontics by Dr Adam Watt makes it easy for root canal patients based in Glasgow and further afield to access advanced endodontic care.
If you're a patient looking to self-refer for an endodontic treatment with Dr Adam Watt, please contact the Treatment Coordinator at Broomhill Dental, Glasgow.
