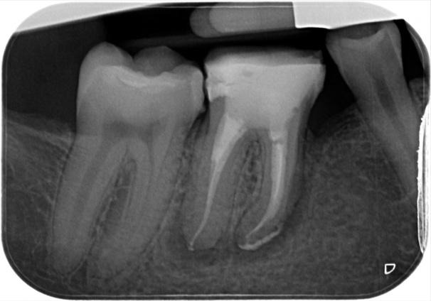
IOPA Pre-Op

The initial diagnosis here was of a failed root treatment and a symptomatic apical periodontitis. After further investigation a few extra obstacles reared their heads. The most obvious one was the blockage in the distal canal that turned out to be amalgam. In addition to this there was a ledge in the mb canal. Due to the large PARL visible on the pre-op IOPA, achieving patency in this case seemed pivotal to its success. The distal canal was unblocked using Satelec’s Endo Success kit. After that it became quite straight forward to manage and was completed over 2 visits utilising calcium hydroxide as an inter-visit medicament. The ledge in the mb canal was bypassed via the ml canal as these canals were confluent utilising the same portal of exit. Re-root treatment was initiated with Dentsply’s Reciproc silver R25 due to the rigidity of the root filling, and then completed using Wave One Gold small as the canals became quite narrow and curved apically. Copious irrigation and activation with the Ultra X was followed by obturation using WVC and AH+. It was then back to the RD for cuspal coverage.
Immediate post-op and 18-month review IOPA
Displaying nice healing and a marked reduction in the PARL. RD sent review x-ray mentioning marginal gap at distal crown margin which ideally needs rectifying to maintain an optimal coronal seal on the root treatment!


With the option for self-referrals and referrals by your dentist, Modern Endodontics by Dr Adam Watt makes it easy for root canal patients based in Glasgow and further afield to access advanced endodontic care.
If you're a patient looking to self-refer for an endodontic treatment with Dr Adam Watt, please contact the Treatment Coordinator at Broomhill Dental, Glasgow.
