



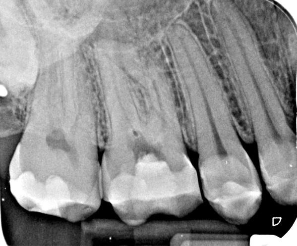
Diagnosis
Pulp necrosis with no clear apical change on IOPA
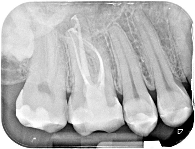
File System
VDW Rotate 1504, 2005 and 2504 was selected for this tooth to try and preserve as much pericervical (PCD) dentine as possible given the patient’s younger years. Dentsply’s Wave One Gold Large (WOGL) was used for the wider palatal canal.
Irrigation Protocol
Irriflex and Sodium Hypochlorite (5.25%) was used copiously throughout with a penultimate rinse with 17% EDTA for 1 minute then back to sodium hypochlorite for a final clean. All irrigants activated with Eighteeth Ultra X (PUI).
Obturated with
Hydraulic condensation with TotalFill BC sealer Hiflow
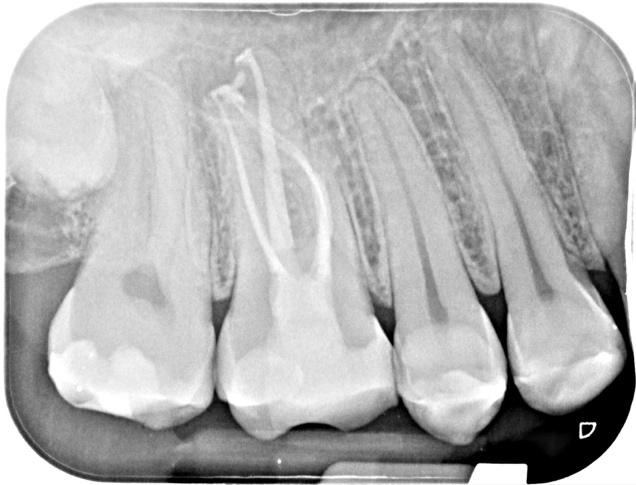
Follow-Up
Cuspal coverage planned for this tooth and a 1 year follow up has been made.
With the option for self-referrals and referrals by your dentist, Modern Endodontics by Dr Adam Watt makes it easy for root canal patients based in Glasgow and further afield to access advanced endodontic care.
If you're a patient looking to self-refer for an endodontic treatment with Dr Adam Watt, please contact the Treatment Coordinator at Broomhill Dental, Glasgow.
