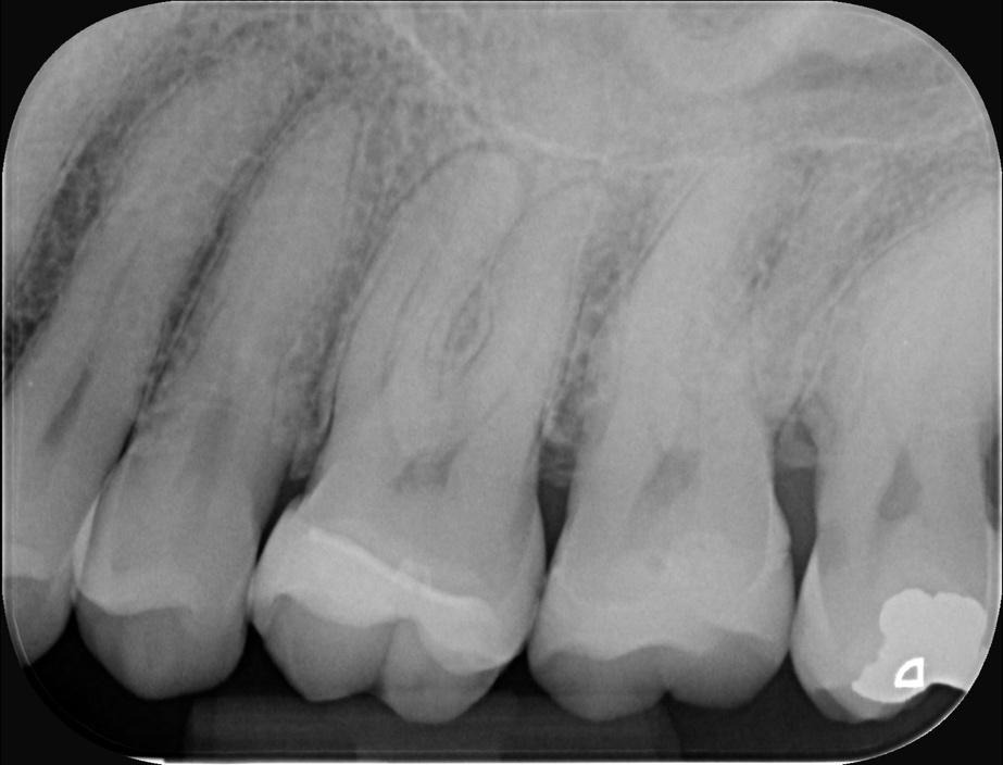
Conservative Access and Root Canal Preparation on a Curvy Molar with 4 Portals of Entry and 5 Portals of Exit


Diagnosis
Pulp necrosis and symptomatic apical periodontitis
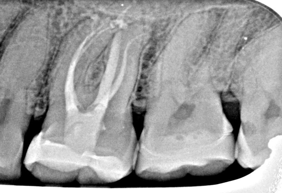
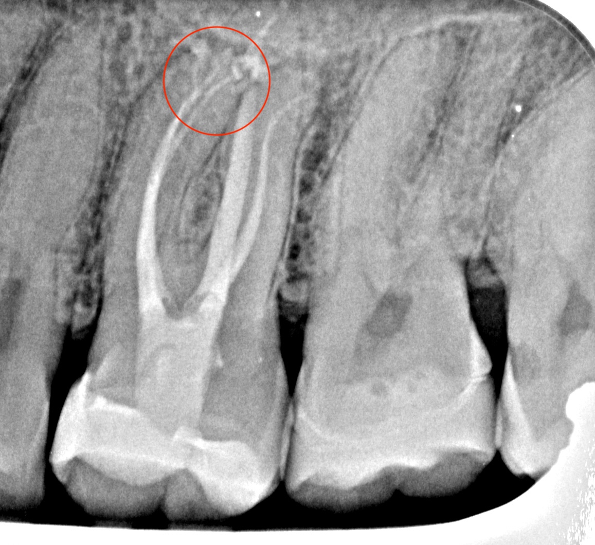
File System
Hybrid sequence of MiniKut 1503, TS 1802, TS 2004 in mb1, mb2 and db. The palatal was finished with a VDW Rotate 3004. This sequence was chosen to suit the narrow-calcified canals. It enabled slow and gradual enlargement of the canals which reduce the chance of the file breakage especially in the distobuccal canal with the ‘s’ shaped curve.
Irrigation Protocol
Irriflex and Sodium Hypochlorite (5.25%) throughout with a penultimate rinse with 17% EDTA for 1 minute then back to sodium hypochlorite for a final clean. All irrigants activated with the Eighteeth Ultra X (PUI).
Obturated with
Hydraulic condensation with TotalFill BC sealer Hiflow.
Follow-Up
Referred back to RD for Cuspal coverage and a 1 year follow up has been made.
With the option for self-referrals and referrals by your dentist, Modern Endodontics by Dr Adam Watt makes it easy for root canal patients based in Glasgow and further afield to access advanced endodontic care.
If you're a patient looking to self-refer for an endodontic treatment with Dr Adam Watt, please contact the Treatment Coordinator at Broomhill Dental, Glasgow.
