Instrument Retrieval from an Upper First Molar Using CBCT Imaging, Ultrasonics and a BTR Loupe Pen
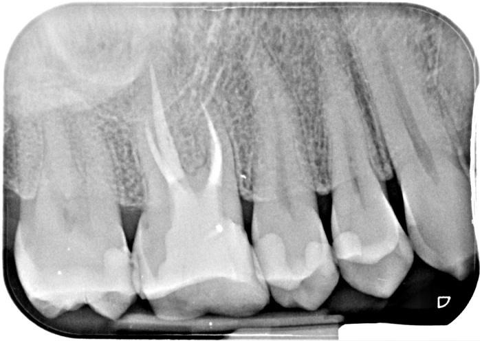
The broken instrument evident on the pre op IOPA and CBCT scan added an exciting layer of complexity to the management of this case. CBCT imaging is essential when assessing molar re-treatment cases involving broken instruments. This UR6 referral case was diagnosed as a failed root treatment with a symptomatic apical periodontitis. The RD was planning an indirect restoration for this tooth. Therefore, re-root treatment was indicated.
Pre-op IOPA and CBCT imaging




Key findings from CBCT Consultant radiologist’s report by JM Radiology:
- 5mm of broken instrument in mb1 mid/apical section of canal
- Unfilled mb2/confluent with mb1, this gave me three potential management strategies either direct bypass via mb1, bypass via mb2 due to shared portal of exit/ or removal
- Apical resorption mb/db roots
- Db portal of exit was not at the end of the root
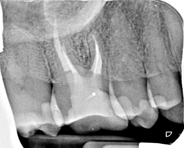
CBCT imaging allowed me to determine the size of the broken instrument, its exact location and the significance of mb2. As the instrument fragment was quite large the evidence suggests it was likely to take longer to remove so this was factored into the patient’s consent document. The patient was also advised that if I could not retrieve the instrument then a bypass strategy would be attempted either directly or via the mb2. Once the tooth was accessed, GP removal was completed with Reciproc Blue R25 file and various US attachments. I managed to bypass this instrument without too much difficulty. Following that I managed to get the broken instrument fragment ‘dancing’ using the TFRK US tips and then retrieved it with a BTR loupe pen. The re-root treatment of this tooth then became routine and was completed over 2 visits, utilising calcium hydroxide as an inter visit medicament. Following thorough disinfection, the case was obturated using hydraulic condensation and Totalfill BC sealer Hiflow and finished with a composite core with cuspal coverage recommended by the RD.
Post-op IOPA’s including a distal cone shift


One year follow up booked. I will add the review IOPA to this case study once I have it.
With the option for self-referrals and referrals by your dentist, Modern Endodontics by Dr Adam Watt makes it easy for root canal patients based in Glasgow and further afield to access advanced endodontic care.
If you're a patient looking to self-refer for an endodontic treatment with Dr Adam Watt, please contact the Treatment Coordinator at Broomhill Dental, Glasgow.
